

Carpal
É a radiografia da mão e do punho usada para a avaliação da idade óssea do paciente.

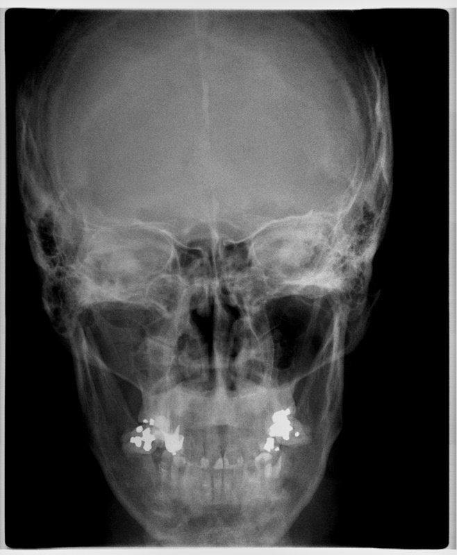
Seio Frontal (Póstero-Anterior FN)
- Utilizada para visualizar o seio frontal, as células etmoidais e as paredes da órbita.
- Avalia anormalidades de crescimento e assimetrias da maxila e da mandíbula.

P.A. Seio Maxilar (Waters)
Indicações
- na pesquisa e localização das sinusites do seio maxilar.
- na pesquisa e localização de corpos estranhos, fragmentos de raízes, dentes no interior do seio.
- para localização e delimitação de áreas patológicas.
- para localização e delimitação das fraturas da maxila.

.Axial (Projeção de Hirtz)
Indicações
- para pesquisa e localização das fraturas do arco zigomático.
- para pesquisa da integridade da parede posterior do seio maxilar.
- para exame da mandíbula (processo coronoide e côndilo.
Radiografia Interproximal
Este exame radiográfico visualiza as faces proximais dos dentes posteriores observando-se simultaneamente as coroas dentárias dos dentes superiores e inferiores, e é indicado para a pesquisa de:
- cáries (proximais e incipientes).
- excesso ou falta de materiais restauradores.
- reabsorção da crista óssea alveolar (indicativa de doença periodontal).

Radiografias Interproximais (Com Aparelho Extra Bucal)
Realizada como uma única tomada panorâmica. Indicada para crianças abaixo de 07anos e demais pacientes, com dificuldade para a realização dos exames periapicais e interproximais, intrabucais (técnica convencional).
Telerradiografia Lateral
- Para o estudo do crescimento e desenvolvimento das anormalidades crânio-faciais.
- Para análises dos casos e diagnósticos.
- Para a avaliação progressiva da correção ortodôntica.
- Para o estudo das relações geométricas dento-faciais.
- Para análise funcional e determinação do tipo facial.

ATM
É uma radiografia utilizada para a visualização do posicionamento condilar em relação à fossa mandibular nas posições boca aberta (máxima abertura) e boca fechada (em oclusão). Indicada também para a visualização da anatomia da ATM e para avaliar o grau de movimentação e a relação com as estruturas circunvizinhas.
Documentação Ortodôntica
A Documentação Ortodôntica é um conjunto de exames (radiografias, fotografias intra e extrabucais, modelos em gesso das arcadas dentárias e análises cefalométricas) cuja finalidade é proporcionar uma visão abrangente do paciente, permitindo o exame do caso inicial com maior detalhamento.
Panorâmica
A Radiografia Panorâmica nos dá uma visão geral dos maxilares, sendo utilizada em todas as especialidades. Nesta incidência, observam-se:
- dentes presentes, presença de cáries extensas, processos patológicos no periápice.
- grau de desenvolvimento dental, posicionamento dos dentes, a relação do dente permanente com o dente decíduo, presença de patologia do folículo.
- presença de reabsorções ósseas alveolares.
- característica do trabeculado ósseo da maxila e mandíbula.
- posicionamento dos reparos anatômicos.
- pesquisa de raízes residuais, fraturas ósseas, patologias.
- acompanhamento de tratamentos endodônticos e ortodônticos.
- preservação de tratamentos cirúrgicos

Tomografia Volumétrica:
- ATM
Boca aberta/semiaberta/fechada
- Cirurgia Oral
Dente incluso e/ou supranumerário
Terceiros molares, posicionamento e/ou relação com o canal mandibular/seio maxilar
Patologia
- Endodontia
Pesquisa de dilaceração/perfuração/fratura radicular
Pesquisa de lesões
- Ortodontia
Avaliação das tábuas ósseas vestibulares e linguais
Avaliação da relação dos dentes superiores com o seio maxilar
Avaliação da relação dos dentes inferiores com o canal mandibular
- Periodontia
Avaliação de perda óssea alveolar
Avaliação de envolvimento endo-perio
Envolvimento de furca
- Planejamento de Implantes
Avaliação de enxerto ósseo
- Seios da Face
Avaliação de sinusites, cistos, demais patologia



